従来の大人の矯正では、メタルブラケットにワイヤーを通して固定する方法が一般的でした。
しかし、現在では矯正装置の種類が豊富になり、患者様の症状やご希望に合った装置で歯並びのお悩みを解決することが可能です。マウスピース矯正もその一つであり、見た目を気にせずに歯列矯正を受けることができます。患者様の歯型をもとにオーダーメイドのマウスピースを作製し、定期的に交換しながら装着を続けることで、少しずつ歯並びを整えていきます。
※当院ではブラケット矯正は行っておりません。
ブラケットとワイヤーを使用する矯正装置では、口を開けた時に金属が目立ってしまいます。
マウスピース矯正で使用する装置は透明なため、矯正していることを気付かれにくい利点があります。
ワイヤー矯正では歯科医院と技工所が装置を用意しますが、マウスピース装置は違った形で作られています。
当院では、スケールメリットを生かした価格設定の上、治療が終了するまで、毎回の診療費用調整費はかかりません!。
マウスピース矯正は、2〜3ヶ月に一度の通院で済むため、当院で はお仕事が不規則で忙しい方や遠方の患者様にも通院していただいています。 マウスピース矯正を始める際の治療スケジュールなどは、お気軽にご相談ください。
ご自身がマウスピース矯正ができるかどうか気になる方は、お気軽に当院にご相談くださればと思います。
通常のワイヤー矯正では調整以外で装置を外すことができませんが、マウスピース矯正はお好きな時に患者様自身で脱着が可能です。
歯磨きがしやすく、お口と装置を衛生的に保つことができます。
固定式の矯正装置の場合は食べる物に気を遣い、粘着性の強いものや着色するものは避けなければなりませんでした。
マウスピースなら、食事の時に取り外して食べたい物を思いっきり食べられます。
マウスピース矯正を行うにあたり、当院ではアメリカのアライン・テクノロジー社が開発したインビザライン・システムを採用しています。
インビザライン・システムは、世界100カ国以上の国々で提供され、これまでに900万人を超える患者様が治療を受けています (2020年10月時点)。
| 矯正の種類 |
インビザライン矯正透明なマウスピースによる矯正装置 |
メタルブラケット矯正歯の表面に金属を装着する一般的な矯正治療 |
リンガル矯正歯の裏側に装置を取り |
|---|---|---|---|
| 目立ちにくさ | 透明マウスピースのため目立たない。 | 歯の表面に金属を装着するので目立つ。 | 歯の裏側に装置をつけるので見えにくい。 |
| 取り外しの可否 | 取り外し 取り付けが可能 |
取り外し 取り付けが不可能 |
取り外し 取り付けが不可能 |
| 痛みの少なさ | 口内炎などは生じにくく、 その分痛みを感じることが少ない |
金属装置特有の装置の 不快感がある。 |
歯の裏側にあるので、舌や 粘膜に痛みを感じやすい。 |
| 金属アレルギー | 金属を使用しない為、 アレルギーの心配が無い。 |
金属使用による、 金属アレルギーがある。 |
金属使用による、 金属アレルギーがある。 |
| ケアのしやすさ | 取り外しが出来るため、 歯のケアがしやすい。 |
取り外しが出来ないので、 歯のケアが難しい。 |
取り外しが出来ないので、 歯のケアが難しい。 |
| 治療費用 | メタルブラケットとさほど 治療費用が変わらない。 |
治療費が他の矯正に 比べて最も安い。 |
特殊な装置なので 治療費も高額。 |
インビザラインは、ご自宅でマウスピースを交換する事により治療を進める事ができるので、2ヶ月間隔の通院で治療することもできます。お忙しい方や受験生の方などで、通院回数の少ない矯正治療をご希望の方におすすめです。
矯正装置が見えないリンガルブラケットは目立ちにくい治療ですが、インビザラインに比べ治療費が高額になります。
また、歯の裏側につけるので装着の不快感が強いです。
| 治療方法 |
|---|
| マウスピース型矯正装置 (インビザライン) |
| 治療の説明 |
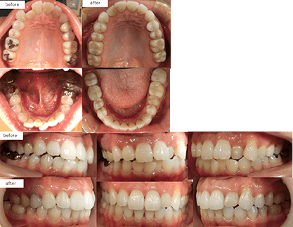
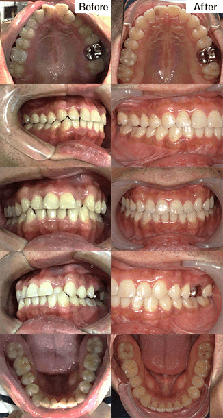
| 主訴:叢生 |
| 年齢 |
| 32歳 |
| 抜歯箇所 |
| なし |
| 治療期間 |
| 1年1ヶ月 |
| 通院回数 |
| 10回 |
| 治療費用 | 767,800円 |
|---|---|
| 治療の内容・詳細 | 初回と追加アライナーで主訴の叢生を改善、最終左上2番の挺出と嚙み合わせの調整を行い治療を終了いたしました。 |
| 治療の副作用(リスク) | 保定装置をしっかり装着していないと、後戻りする可能性があります。咬合痛、歯根吸収、歯根露出を生じる可能性があります。 |
| 治療方法 |
|---|
| 床矯正で上下横に拡大しインビザラインへ移行、親知らず抜歯あり |
| 治療の説明 |
| 主訴:叢生、 上下の前歯叢生が気になる |
| 年齢 |
| 26歳 |
| 治療費用 | 877,800円(税込) (インビザライン767,800円 床矯正2装置110,000円) |
|---|---|
| 治療期間 | 2年4カ月 |
| 通院回数 | 17回 |
| 治療の副作用(リスク) | 元々隙間が開いていたところはしっかり保定装置を入れておかないと後戻りする可能性があります。咬合痛、歯根吸収、歯根露出が生じる可能性があります。 |
| 歯科医師からのコメント | 元々上下の前歯が噛み合っておりませんでしたが、上の前歯を後ろに下げることで前歯のかみ合わせも良くなっています。 |
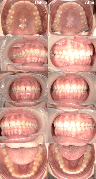
| 治療方法 |
|---|
|
【矯正】インビザライン、光加速装置「PBM HEALING」 【ホワイトニング】 ホワイトエッセンスコース (オフィスホワイトニング※1 3回、ホームホワイトニング 2か月分、クリーニング※2 2回、特選ホームケア用品) |
| 治療の説明 |
| 主訴: 前歯が出てる、下の歯のがたつき |
| 年齢 |
| 24歳 |
| 治療費用 | 1,054,000円(税込)、相談・検査・診断料・調整料:無料 |
|---|---|
| 治療期間 | 【矯正】1年10か月 |
| 通院回数 | 【矯正】 18回 【ホワイトニング】期間・回数:治療内容により異なります |
| 治療の副作用(リスク) |
【矯正】咬合痛、歯根吸収、歯根露出が生じる可能性があります。 【ホワイトニング】個人差がありますが、施術中や施術後に歯がしみる場合があります。 保証制度:040 の白さに達成するまで追加で施術を受けられる制度です。万が一040 に達しない場合は、材料費を差し引いた70,000 円を返金します。 ※テトラサイクリン薬剤による変色は保証の対象外です。 ※差し歯等でない限り、右上の前歯が保証対象歯です。 中途解約制度:あり ※1 オフィスホワイトニング プロプラス ※2 オーラルスパクリーニング、ナノアパタイトコート研磨 |
| 歯科医師からのコメント | 頬側拡大を行い、上顎前歯の突出感を改善。追加アライナーでは残存空隙利用と少し遠心移動を追加して咬合を調整しています。 |
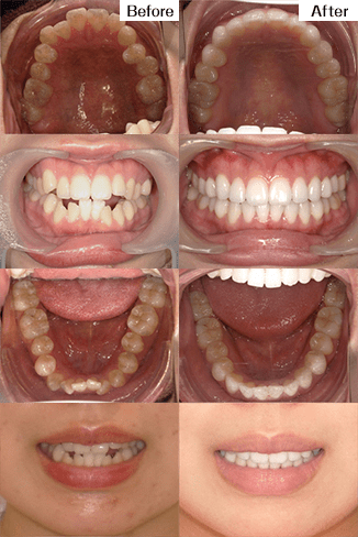
| 治療方法 |
|---|
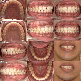
| 上下床矯正装置+インビザライン (親知らず抜歯) |
| 治療の説明 |
| 主訴: 右上1と右下1が出ている、叢生 |
| 年齢 |
| 23歳 |
| 治療費用 | 877,800円(税込) (インビザライン767,800円 床矯正2装置110,000円) |
|---|---|
| 治療期間 | 3年1ヶ月 |
| 通院回数 | 18回 |
| 治療の副作用(リスク) | 咬合痛、歯根吸収、歯根露出が生じる可能性があります。 |
| 歯科医師からのコメント | 上下で拡大床装置ありで期間は3年ですが、右上1番の唇側傾斜が改善、しっかり噛めるようになっています。 |
| 本人許可 | 症例写真としてのHPなどへの掲載許可を得ています。 |
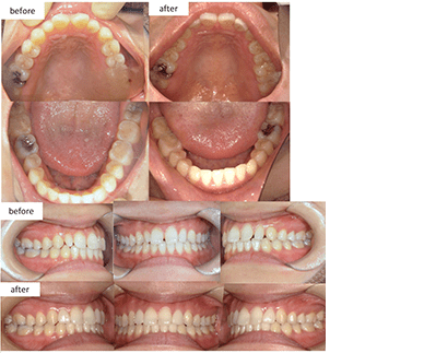
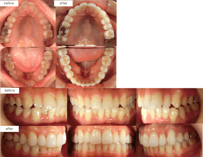
| 治療方法 |
|---|
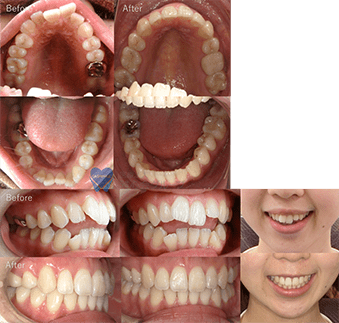
| インビザラインで治療 |
| 治療の説明 |
| 主訴:上の前歯がでてる、上顎前突 |
| 年齢 |
| 18歳 |
| 治療費用 | 767,800円(税込) |
|---|---|
| 治療期間 | 1年1ヶ月 |
| 通院回数 | 10回 |
| 治療の副作用(リスク) | 咬合痛、歯根吸収、歯根露出が生じる可能性があります。 |
| 歯科医師からのコメント | 元々叢生も少しのため、抜歯なしでインビザラインのみで治療を行っています。マウスピースの装着時間もしっかり確保できており、治療期間が短くなりました。Att(一時的に付ける歯の突起),IPR(歯の隙間を作る)あり。 |
| 本人許可 | 症例写真としてのHPなどへの掲載許可を得ています。 |
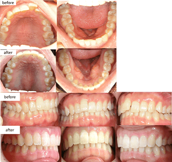
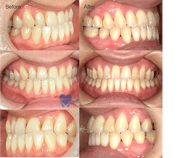
| 治療方法 |
|---|
| マウスピース型矯正装置 (インビザライン) |
| 治療の説明 |
| 主訴:出っ歯、開咬 |
| 年齢 |
| 20才 |
| 抜歯箇所 |
| 非抜歯 |
| 治療費用 | 767,800円 (相談・検査・診断料 無料、調整料 無料) |
|---|---|
| 治療期間 | 1年2ヶ月目 |
| 通院回数 | 10回 |
| 治療の内容・詳細 | カスタムメイドで制作されたマウスピースを定期的に交換しながら少しずつ歯に適切な力をかけて歯並びを整えていく矯正治療です。 |
| 治療の副作用(リスク) | 装着時間が少ないと治療期間が長引く可能性があります。 他の矯正治療法と同様に、疼痛・歯根吸収・歯肉退縮の可能性や適切な保定をしないと治療後に後戻りすることがあります。 |
| 治療方法 |
|---|
| マウスピース型矯正装置 (インビザライン) 光加速装置「PBMヒーリング」 |
| 治療の説明 |
| 主訴:空隙 |
| 年齢 |
| 28歳 |
| 抜歯箇所 | 左上下8抜歯、右下8抜歯 |
|---|---|
| 治療費用 | 877,800円 (相談・検査・診断料 無料、調整料 無料) |
| 治療期間 | 6ヶ月 |
| 通院回数 | 10回 |
| 治療の内容・詳細 | カスタムメイドで制作されたマウスピースを定期的に交換しながら少しずつ歯に適切な力をかけて歯並びを整えていく矯正治療です。 |
| 治療の副作用(リスク) | 装着時間が少ないと治療期間が長引く可能性があります。 他の矯正治療法と同様に、疼痛・歯根吸収・歯肉退縮の可能性や適切な保定をしないと治療後に後戻りすることがあります。 |
| 治療方法 |
|---|
| インビザライン、上22は矯正後他院で補綴治療 |
| 治療の説明 |
| 主訴:上22小さい、上11隙間 |
| 年齢 |
| 30歳 |
| 治療費用 | 547,800円(税込) |
|---|---|
| 治療期間 | 1年1か月 |
| 通院回数 | 12回 |
| 治療の副作用(リスク) | 咬合痛、歯根吸収、歯根露出が生じる可能性があります。 |
| 歯科医師からのコメント | 最終的に上22に空隙を残して矮小歯補綴治療をされています。ご本人様からもだいぶきれいになりましたとお言葉をいただいております。 |
マウスピース矯正をご希望の方は、無料でカウンセリングを受けて頂けます。ぜひお気軽に当院にお越し頂き、歯並びに関するお悩みをお聞かせ下さい。インビザラインについてのご説明を行い、患者様からの様々な疑問にもお答えします。
精密検査の結果をお伝えし、治療の内容、期間、費用などを患者様にご説明します。
患者様に同意して頂いたのち、マウスピースのための歯型を採って装置を作製します。
保定期間では、動かした歯が後戻りしないように歯を固定します。この期間は個人差があり、数ヶ月から数年かかることがあります。
レントゲン撮影や歯型の採取をさせて頂き、患者様の資料を揃えます。
資料をもとにコンピューター上で3次元の治療シミュレーションを行い、治療開始から終了までの治療計画を綿密に立てていきます。
発注から数週間でマウスピースが出来上がりますので、完成後は一度ご来院頂き、適合をチェックしてマウスピースをお渡しします。治療期間中は毎日決められた時間マウスピースを装着し、定期的な通院・交換を繰り返して歯並びを整えます。
保定期間終了後は定期的なメンテナンスを行い、お口を健康を維持していきます。歯石・プラーク除去や検査を通して、虫歯・歯周病を予防します。
| 項目 | 期間目安 | 費用 |
|---|---|---|
| イーラインスマイル 軽度 12枚程度 |
3~4ヶ月 | 片顎 198,000円 |
| 両顎 330,000円 | ||
| イーラインスマイル 軽度~中度 22枚程度 |
6~8ヶ月 | 片顎 363,000円 |
| 両顎 399,800円 | ||
| イーラインスマイル 中度 40枚程度 |
10~14ヶ月 | 両顎 698,000円 |
| イーラインスマイル 中度~重度 40枚程度 |
10~14ヶ月 | 両顎 798,000円 |
| イーラインスマイル 重度 枚数無制限 |
~36ヶ月 | 両顎 877,800円 |
| SmarteeGS矯正 ※外科的治療を避けてEラインを 改善するマウスピース矯正 |
1,430,000円 | |
| 矯正相談・カウンセリング | 無料 |
|---|---|
| 精密検査料 | 無料 ※1 |
| 来院時の調整料 | 無料 |
| 項目 | 期間目安 | 費用 | |
|---|---|---|---|
| インビザライン 軽度 7枚程度 |
2~3ヶ月 | 上か下(片顎)264,000円 | |
| 上下(両顎)398,000円 | |||
| インビザライン 軽度~中度 14枚程度 |
4~5ヶ月 | 上か下(片顎)398,000円 | |
| 上下(両顎)498,000円 | |||
| インビザライン 中度 26枚程度 |
7~9ヶ月 | 上下(両顎)698,000円 | |
| インビザライン 重度 枚数無制限 |
24~36ヶ月 | 899,800円 | |
| 特別咬合調整 | 33,000~55,000円 |
|---|---|
| インプラントアンカー | 36,300円/本 |
| 抜歯対応 | 12,100円/本 |
当院では、治療が終了するまで、毎回の診療費用調整費は、
一切かかりませんのでご安心ください!
下記マークのクレジットをご利用いただけます。
※各社ごとの金利は患者様負担
当院では、新生銀行グループのアプラスと提携しより多くの患者様に治療をご提供できるよう歯科に特化したデンタルローンを導入しております。
デンタルローンとは、歯科治療費をアプラスが患者様の代わりにお支払いし、患者様が自由に組めるプラン(回数)に沿って返済していただく仕組みです。
※お支払日数によって金利が違います。
人の笑顔には素晴らしい力が秘められています!
笑顔になるだけで、一緒にいる人がとても幸せな気持ちになります!
長い間、お口元にお悩みがあることで、なかなか自信が持てなかったり、ご結婚式やご友人と遊びに行くときなどに、もっと大きく笑って写真を撮りたい!
そんな思いを少しでもお持ちの方に思いっきり笑えるようになっていただきたい!
当院スタッフ全員が全力であなたの笑顔のサポートを致しますので、相談だけという方でも是非、一度いらしていただければと思います!
ホワイトエッセンスわかやま歯科
〒640-8454
和歌山県和歌山市ふじと台23番地 イオンモール和歌山2F
| ● | ● | ● | ▲ | ● | ● | ● | |
| ● | ● | ● | ▲ | ● | ● | ● |
定休日:木曜日(第1木曜日は営業いたします。)
第1月曜日・第1金曜日・第2日曜日・
第3水曜日・第4土曜日も休診日
南海本線和歌山大学前(ふじと台)駅直結
駐車場有り

